
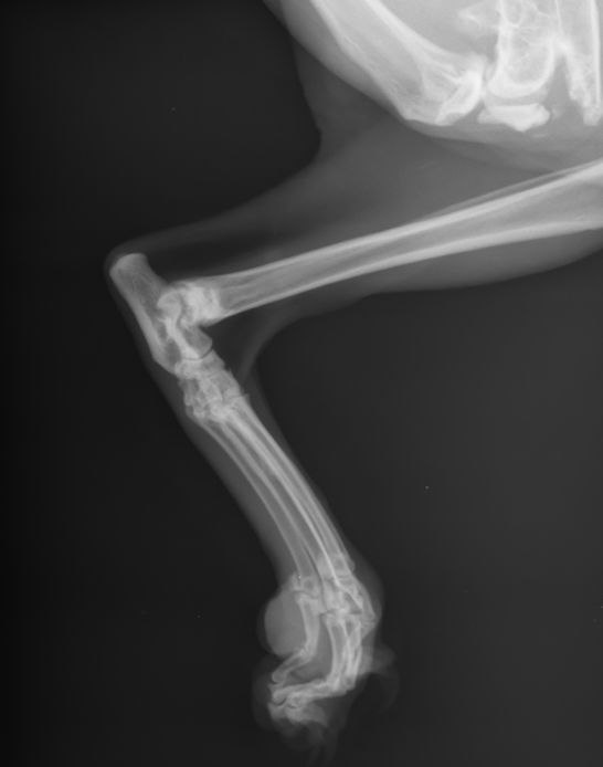
Получили направление на рентген и переживаете за своего питомца? Вы не одни — многие владельцы кошек и собак боятся, что рентген может навредить их любимцу. В этой статье мы честно и подробно расскажем, как проходит рентген у животных, когда он действительно нужен, безопасен ли он для щенков и беременных кошек, и нужно ли делать наркоз.
В ветеринарной клинике «Наш Лекар-Вет» в Новой Боровой мы проводим рентген-исследование для животных уже более 3 лет. За это время помогли сотням животных — от мелких грызунов до крупных собак. Ниже — всё, что вы хотели знать о рентгене, но боялись спросить.
Когда действительно нужен рентген?
Рентгенография — один из самых точных методов диагностики. Она необходим при:
- Травмах и подозрении на переломы — особенно после падения или аварии;
- Проблемах с дыханием — чтобы исключить пневмонию, инородное тело или плеврит;

- Болях в спине или хромоте — для выявления грыж, артритов, дисплазий;

- Завороте кишок или непроходимости — особенно у собак крупных пород;

- Контроле лечения — например, срастание костей после операции.
Не откладывайте обследование — чем раньше будет поставлен диагноз, тем выше шансы на быстрое выздоровление.
Безопасен ли рентген для щенков и котят?
Да, рентген безопасен даже для маленьких животных, если соблюдены все меры предосторожности.
Мы используем цифровое оборудование, которое дает высокое качество снимка при минимальной дозе излучения — в 5–10 раз меньше, чем старые аналоговые аппараты.

Нужен ли наркоз при рентгене?
Нет, наркоз требуется не всегда.
- Без наркоза: если животное спокойное и может лежать неподвижно (часто у взрослых кошек и собак).
- С наркозом: если питомец испытывает боль, боится или не может контролировать движения (например, при переломе).
В нашей клинике используется легкая седация или короткий наркоз с постоянным контролем сердца и дыхания. Риск минимален.
Как проходит процедура?
Процедура занимает всего 10–15 минут. Вот как она выглядит:
- Фиксация
- Съемка: делается 1–3 снимка с разных ракурсов.
- Расшифровка: врач-рентгенолог анализирует снимки и готовит заключение.
- Консультация: врач-хирург объясняет диагноз и назначает лечение.
Вы можете наблюдать за процессом, а также получить снимки на флешку, диск, e-mail или мессенджер.
Что делать после рентгена?
После процедуры большинству животных не требуется особый уход. Но если использовался наркоз:
- Держите питомца в тёплом, тихом месте;
- Наблюдайте за поведением — если есть рвота, судороги или затрудненное дыхание — звоните нам.
Если рентген показал серьёзные отклонения — врач предложит план лечения: медикаменты, операцию или госпитализацию.
Стоимость рентгена
Стоимость одного снимка в «Наш Лекар-Вет»: 20 BYN
Точную цену можно узнать по телефону или при личном визите.
Часто задаваемые вопросы
Больно ли делать рентген животному?
Нет, сама процедура безболезненная. Главное — чтобы питомец лежал спокойно. Мы используем бережную фиксацию и поддерживаем комфорт.
Можно ли забрать снимки на флешке?
Да, мы выдаем снимки в электронном виде — на флешке, диск, по email или в мессенджере.
Делаете ли вы рентген на дому?
Нет, рентген проводится только в клинике. Оборудование стационарное, требует подготовленного помещения и защиты от излучения.
Нужно ли готовиться к рентгену?
Да, если снимают брюшную полость — голод собака 8–12 часов, кошка 6-8 часов. Для других зон (конечности, позвоночник) подготовка не требуется.
Делаете ли вы расшифровку снимков?
Да, врач-хирург бесплатно прокомментирует снимки и объяснит, что означают отклонения. Консультация входит в стоимость.
Можно ли делать рентген беременной кошке?
Только по жизненным показаниям. Избегайте облучения в первом триместре. При необходимости мы используем защиту и минимальную дозу.
Почему рентген лучше УЗИ?
Рентген отлично показывает костную ткань, лёгкие, желудок, кишечник. УЗИ — мягкие органы: печень, почки, сердце. Иногда нужны оба метода.
Сколько времени делают рентген у собаки?
Процедура занимает 10–15 минут. Результат — сразу. Расшифровка — в течение 10 минут.
Делаете ли вы рентген для грызунов и кроликов?
Да, у нас есть опыт работы с мелкими животными. Используем специальные режимы съёмки и фиксации.
Можно ли делать рентген без наркоза у кошки?
Да, если кошка спокойная и может лежать неподвижно. В 80% случаев наркоз не требуется. Если питомец боится — используем легкую седацию.
Какие противопоказания к рентгену у собак?
Противопоказаний почти нет, но при тяжёлом состоянии (например, шок) врач оценит риск. Главное — польза от диагностики должна превышать возможный вред.
Где сделать рентген в Минске?
Вы можете сделать рентген в ветеринарной клинике «Наш Лекар-Вет» в Новой Боровой вы получите:
- Цифровой рентген — быстрые, чёткие снимки
- Опытных врачей — хирурга или терапевта
- Безопасность — минимальная доза излучения
- Комфорт — бережная фиксация, снижение стресса
- Бесплатную консультацию по результатам
Удобное расположение рядом с Уручьем, Боровлянами, Копищем, Валерьяново.
📞 Записаться на рентген: +375 (29) 598-43-21
📍 Адрес: Минск, мкр. Новая Боровая, ул. Авиационная, 43, пом. 300
Ветеринарная хирургия у собак и кошек: когда нужна операция и как она проходит
Хирургическое вмешательство — один из самых ответственных этапов в лечении животных. Для владельца слово «операция» почти всегда звучит тревожно. Однако…
Когда нужно обращаться к ветеринару-терапевту
Домашние животные, как и люди, иногда болеют. Но в отличие от нас, они не могут рассказать, что именно чувствуют. Владельцы…
Зуд у собаки и кошки: причины, симптомы и лечение
Зуд — одна из самых частых причин обращения владельцев к ветеринарному врачу. Если собака или кошка постоянно чешется, лижет лапы,…
Зачем нужен врач-ратолог и когда обращаться к нему
Кто такой ратолог и почему он нужен Домашние грызуны и зайцеобразные — нежные и чувствительные питомцы. Их здоровье во многом…
Рентген у животных: когда назначают, что показывает и безопасен ли он
Получили направление на рентген и переживаете за своего питомца? Вы не одни — многие владельцы кошек и собак боятся, что…
Как читать анализ крови у кошки и собаки: расшифровка показателей для владельцев
Получили результаты анализов своего питомца и не знаете, что означают цифры? Не переживайте. Многие владельцы животных сталкиваются с тем, что…
